Hand en pols

Arthrose radio-ulnair gewricht (DRUJ Arthrose)

Oorzaak

Oorzaak

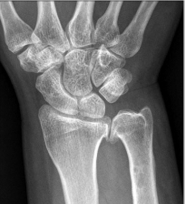
In uw pols is in het gewricht tussen het spaakbeen en ellepijp (het DRUJ) artrose ontstaan. De oorzaken hiervoor zijn: niet anatomisch geheelde fracturen van de pols, (onbehandelde) bandletsels van de pols, instabiliteit, kraakbeenslijtage, reuma of groeiafwijkingen (Madelung) van de pols.

Een radiografie van een pols met DRUJ arthrose

Klachten
Behandeling
Nazorg