Hand en pols
Arthrose Pols
Oorzaak
In uw pols is arthrose ontstaan. De oorzaken hiervoor zijn: idiopathisch (spontaan), niet goed geheelde fracturen van de handwortel of pols, (onbehandelde) ligamentaire letsels van de pols of het afsterven van een handwortelbeen. In al deze gevallen verandert de onderlinge samenhang van de handwortelbeenderen en ontstaat verhoogde druk op het kraakbeen leidend tot slijtage. Dit probleem kan zich ook al op jeugdige leeftijd voordoen
Klachten
De pols is pijnlijk bij beweging en vooral bij kracht zetten. De pijn kan zeer invaliderend zijn. De beweeglijkheid is vaak beperkt. De pols kan gezwollen zijn met name aan de handrug zijde. Afhankelijk van de onderliggende oorzaak kunnen de klachten variëren.
Diagnose
De diagnose van een polsarthrose wordt meestal zo op de raadpleging gesteld. Typisch is het uitvoeren van een RX aangewezen. Soms kan een CT of MRI nuttig zijn om de diagnose fijn te stellen.

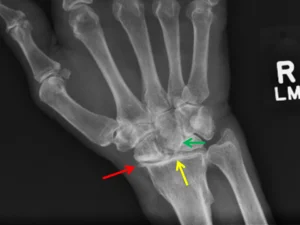
Radiografie van polsarthrose ten gevolge van niet geheelde breuk (links) of (onbehandeld) ligamentair letsel (rechts)
Conservatieve behandeling
De slijtage die er in de pols is opgetreden kan niet worden genezen. Wel zijn er manieren om de last die u hiervan ondervindt te verminderen. Bij afwezigheid van klachten hoeft er niets gedaan te worden. Wanneer de pijn een tijdje aanhoudt, kan het helpen een polsbrace te dragen met een tijdelijke inname van ontstekkingsremmers. Soms kan een infiltratie in het gewricht ook voor een tijd de klachten verbeteren.
Operatie
Soms wordt gekozen voor een operatieve behandeling. Deze vinden plaats onder locoregionale (anesthesie van de arm) of algemene anesthesie.
Afhankelijk van de locatie en de ernst van de arthrose kan er voor verschillende soorten operaties gekozen worden:
- Polsdenervatie: Het losmaken van de zenuwverbindingen die naar de pols gaan. Deze ingreep heeft ongeveer 80% slaagkans met vermindering van de pijnklachten voor ongeveer 5 jaar. Het voordeel van deze operatie is de korte revalidatieduur en het behoud van dezelfde beweeglijkheid als voor de operatie.
- Proximale rij resectie: het weghalen van de 1e rij handwortelbeenderen. Dit zorgt voor een voorspelbare afname van de pijn, echter er blijft een krachtsverlies en de pols verliest ongeveer 50% beweeglijkheid ten opzichte van een gezonde pols. Via een lengtesnee aan de rugzijde van de pols worden deze botjes weggehaald waardoor de 2e rij handwortelbeenderen met de onderarm een nieuw pols gewricht vormt.
- 4 Corner fusie: het weghalen van één botje in de handwortel (het scafoid) en het doen vastgroeien van 2 paar handwortelbeenderen. Dit zorgt voor een voorspelbare afname van de pijn, en de pols verliest ongeveer 50% beweeglijkheid ten opzichte van een gezonde pols, de lengte van de pols wordt door deze ingreep beter behouden en er is dus theoretisch minder risico op krachtsverlies. Deze ingreep is ingewikkelder dan een proximale rij resectie en heeft iets meer risico op complicaties. (Het niet vastgroeien van de botjes, het storen van het osteosynthesemateriaal)
Bijzonderheden
Indien u bepaalde bloedverdunners gebruikt moet u hier enkele dagen op voorhand mee staken, zoals besproken met de arts op de raadpleging.


Diagram van de botjes die verwijderd worden bij proximale rij carpectomie. (Links) Radiografie van pols na proximale rij carpectomie (Rechts).

Radiografie van pols na scafoidectomie en 4 corner fusie
Nazorg
De duur van de revalidatie hangt af van de ingreep. Soms wordt er een gipsverband aangelegd voor 2-4 weken. Dit moet proper en droog blijven en wordt op de controle raadpleging op ongeveer 2 weken na de operatie gewisseld.
De hand dient de eerste week na de operatie omhoog gehouden te worden, hoger dan het hart.
Verder is het belangrijk de hand en vingers (ook in het verband) veel te bewegen en gewoon te gebruiken.
De hechtingen dienen na 12-14 dagen worden verwijderd. Na het verwijderen van de hechtingen is het belangrijk meerdere malen per dag het litteken te masseren met een littekenzalf.
De belasting van de hand en pols na de operatie hangt af van de ingreep.
- Na een denervatie is volledige belasting toegestaan op geleide van de pijnklachten.
- Na een proximale rij resectie of 4 corner fusie wordt belasting pas toegestaan 8 weken na de operatie.
Resultaat operatie:
Na de herstelfase resteert ongeveer de 60-70% van de kracht en 50% van de beweeglijkheid in de pols. De draaibewegingen in de onderarm blijven normaal. De operatie heeft een goed pijn verminderend effect. Toch kan nog enige restpijn met name bij belasting aanhouden.